にがたけホワイト歯科

診療時間

〒983-0036 宮城県仙台市宮城野区苦竹1-4-45 TEL:022-236-4444

矯正・ホワイトニング

矯正・ホワイトニング

矯正治療(Smile TRU スマイルトゥルー)

矯正治療(Smile TRU スマイルトゥルー)

取り外し可能、透明な目立たないマウスピース矯正です。
使用方法は1日20時間装着し、2週間ごとに新しいマウスピースに交換します。
取り外しも自由にでき、お口もマウスピースも衛生的に保てます。

Smile TRU の特徴

メリット
  • 今までの矯正より安い
  • ブラケットワイヤーを使用しないため、目立たず矯正が可能
  • 前歯だけあるいは上顎だけなどの部分的な矯正が可能
デメリット
  • マウスピースは食事と歯を磨くとき以外はずっと付ける必要がある
  • 治療を受けられない場合がある

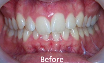
Smile TRU 治療症例

ビフォー アフター
ビフォー アフター

Smile TRU スマイルトゥルー

ホワイトニング

当院では、歯の状態をきちんと診た上で、あなたにあったホワイトニング方法をご提案しています。

ホワイトニングはこんな人にオススメです。

  • 人前に出ることが多い方
  • 若々しく美しい口元になりたい方
  • コーヒーや赤ワインが好きな方
  • 歯の黄ばみが気になる方
  • 営業の仕事で印象を良くしたい方
  • たばこなどで歯の汚れが気になる方
ホワイトニング

歯科医院で作ったマウスピースに、薬剤を塗布して装着するだけなので、ご自宅で、自分のペースで好きな時間に行えます。

また、一度に白くするオフィスホワイトニングと異なり、徐々に白くしていくので歯にやさしく、後戻りもしにくいのが特徴です。

当院のホームホワイトニングの特徴

  • 知覚過敏製剤(硝酸カリウム・フッ素)配合のために、しみにくい
  • 粘着度が高いので、トレイから流れだにくく、装着時の不快感が少ない
  • 自然な白さに、ホワイトニングできる
にがたけホワイト歯科 〒983-0036 宮城県仙台市宮城野区苦竹1-4-45 TEL:022-236-4444
9:30~12:30
14:00~18:00

※休診日:日曜・祝日、木曜
…14:00~16:00